Es ist wirklich wahr: Mit SayCheeese Zahnspangen aus Wien werden Zahnfehlstellungen in nur 4 - 8 Monaten behandelt. Der Ablauf Deiner Zahnschienen Behandlung ist dabei spielend einfach:
Bei SayCheeese startet der Weg zu deinem persönlichen Wunschlächeln ganz selbstverständlich mit einer umfassenden Beratung und 3D Untersuchung mit modernster Technik in unserer Ordination in der Herrengasse. Du erhältst von uns Deine Behandlungs- und Zahlungsplan und kannst Dich anschließend in Ruhe entscheiden, ob Du starten möchtest - kostenlos und unverbindlich.

Plastilin/Knetmasse ist für viele Kinder ein schönes Spielzeug, hat aber in der modernen Zahnregulierung nichts verloren. Abdrucksets, insbesondere wenn diese von Patienten selbst zu Hause genutzt werden, sind viel zu ungenau und unsicher, um damit eine professionelle Zahnschienen-Behandlung aufzusetzen.

Anhand eines Fotos kann keine zahnärztliche Fortschrittskontrolle durchgeführt werden, schließlich verschieben moderne Zahnschienen Ihre Zähne in allen drei Dimensionen und auf einem normalen zweidimensionalen Foto ist es unmöglich, den aktuellen Status mit ausreichender Präzision zu diagnostizieren.
Mit SayCheeese kommst du unsichtbar, schnell und günstiger als gedacht ab nur 32€* zum Wunschlächeln.
Unsere Ärztinnen beurteilen Deinen Fall und erstellen eine 3D Fallplanung, anhand derer Du genau nachvollziehen kannst, wie sich von Tag zu Tag Deine Zähne immer weiter in Richtung perfektes Lächeln verschieben.

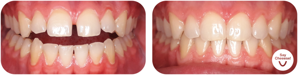
Mit SayCheeese Zahnschienen
schließen wir deine Zahnlücken!

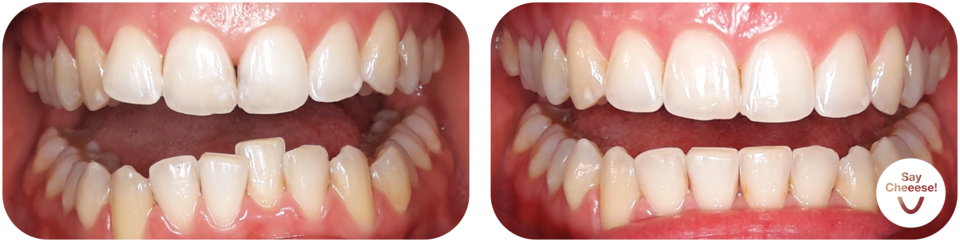
Mit SayCheeese Zahnschienen
beheben wir deine schief stehenden Zähne!

Sobald Deine Schienen hergestellt wurden (etwa 2 Wochen nach Deiner Beauftragung) kommst Du zum Übergabetermin in unsere Ordination. Wir prüfen ob alles richtig sitzt und polieren, falls nötig, Deine Zahnzwischenräume. Deine Zahnschienen trägst Du ab sofort täglich, wirst Dich aber daran schon nach ein paar Minuten gewöhnt haben.
Wir laden Dich zur Endkontrolle ein, überprüfen den Behandlungserfolg und erstellen Nachher-Fotos, damit wir den Vergleich für Dich dokumentieren!
Ganz gleich ob schiefe Zähne oder Zahnlücken, Dein Lächeln steht bei uns im Mittelpunkt. Als Österreichs größter Anbieter für reinästhetische Zahnregulierung bieten wir Dir eine kostenlose und unverbindliche Beratung inkl. 3D Simulation und Röntgen, die es uns ermöglichen, einen perfekt auf Dich zugeschnittenen Behandlungsplan für Dein Wunschlächeln zu erstellen.
Buche jetzt deinen Termin und sichere dir:
✓ Gratis Beratung & Planung
✓ 3D Scan & Röntgen
✓ 0% Ratenzahlung
SayCheeese ist in der Herrengasse 6-8, 1010 Wien zu Hause und damit super einfach erreichbar. Wähle Deinen Termin über die folgende Terminvergabe oder rufe uns gerne unter 01 393 5050 an, wenn Du Fragen habst oder keinen passenden Termin findest.
Ich habe auffällige Zwischenräume – besonders vorne stört mich das beim Lächeln.
Meine Zähne drängen sich, stehen schief oder drehen sich – sie haben zu wenig Platz.
Mein Biss hat einen Fehler, manche Zähne sind zu weit vorne/hinten oder direkt auf Kante.
Meine Zähne schmerzen, mein Zahnfleisch blutet oder mein Kiefer knackt und fühlt sich verspannt an.
Bei SayCheeese sind wir ehrlich: Wenn wir kein Top-Ergebnis garantieren können, sagen wir das auch.
Um dir einen unnötigen Termin zu ersparen, nutze bitte bei der folgenden Terminbuchung unbedingt das Feld "Dateiupload" um uns im besten Fall zwei Fotos von deinen Zähnen (im offenen und zugebissenen Zustand) mitzuschicken. Unsere Ärzt:innen prüfen deinen Fall sorgfältig – denn manche Bissfehlstellungen brauchen eine andere Behandlung. Sollten wir vorab bemerken, dass deine Fehlstellung bei uns nicht behandelt werden kann, werden wir dich kontaktieren.
Wenn du Zahn- oder Kieferschmerzen hast, fülle bitte das folgende Formular aus und erhalte sofort unsere gratis Checklist, mit der du bei deinem Zahnarzt oder deiner Zahnärztin deine Zahngesundheit vor der Zahnregulierung mit SayCheeese Zahnschienen abklären kannst:
Wir sind auf Zahnfehlstellungen spezialisiert und unterstützen dich, sobald medizinisch bei deinen Zähnen alles in Ordnung ist. Dann ist der der perfekte Zeitpunkt, um dein Lächeln mit uns auf Schiene zu bringen! 😀
Wir bringen Dein Lächeln auf Schiene. Buche jetzt Deinen Gratis-Termin bei SayCheeese. Wir sind in der Herrengasse 6-8, 1010 Wien zu Hause und damit super einfach erreichbar. Wähle Deinen Termin über die folgende Terminvergabe oder rufe uns gerne unter 01 393 5050 an, wenn Du Fragen habst oder keinen passenden Termin findest.
zurück zur Auswahl






Über das folgende Formular kannst Du uns gerne Deine Fragen rund um die unsichtbaren Zahnschienen von SayCheeese stellen. Noch besser ist nur Dein unverbindlicher Beratungstermin, den Du über unsere Online Terminbuchung sowie telefonisch unter 01 393 5050 vereinbaren kannst.
Wir ersuchen um Zustimmung für die Speicherung von Cookies. Marketing-Cookies werden erst mit Ihrer Zustimmung verwendet, unsere Website ist werbefrei. » Datenschutz
✔️ Gratis Beratung inkl. 3D-Scan
✔️ 0% Ratenzahlung
✔️ Gratis Homebleaching zum Behandlungsende
Gültig für alle Beratungen im August solange der Vorrat reicht!
Nutze den Advent und hol Dir Dein strahlendes Lächlen!
Cookie Einwilligung Wir ersuchen um Deine Zustimmung für die Speicherung von Cookies. Marketing-Cookies werden erst mit Deiner Zustimmung verwendet. Mehr erfahren